Neste artigo de 2010, publicado pela Angle Orthodontist, pelos autores Yoko Takigawa, Setsuko Uematsu, and Kenji Takada; do Department of Orthodontics and Dentofacial Orthopedics, Osaka University Dental Hospital, Osaka, Japão; Mostra uma boa aplicação da distração osteogênica.
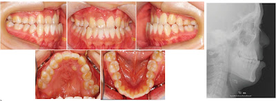
Este artigo descreve o tratamento ortodôntico cirúrgico da hipoplasia maxilar em um paciente com fissura de lábio e palato com distração osteogênica da maxila com distratores maxilares interno.
O avanço da maxila foi realizado para corrigir o perfil facial e a retrusão maxilar numa má oclusão de Classe III. O movimento de rotação do segmento da distração foi feito para corrigir a parte superior da linha média dentária.
Embora o avanço da maxila tenha sido insuficiente por causa do rompimento inesperado do distrator intra-oral após a conclusão da distração, a tração esquelética com uma máscara facial compensou a escassez. A melhora estética foi bem sucedida e a estabilidade oclusal pós-tratamento foram alcançados sem recidiva perceptível após dois anos de contenção.
Link do artigo na integra via Angle Orthodotist:















