ORTODONTIA CONTEMPORÂNEA: agosto 2018

segunda-feira, 27 de agosto de 2018

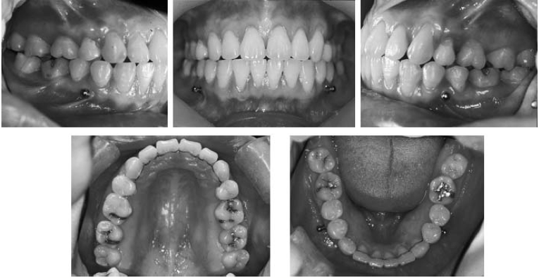
Correção de incisivos laterais superiores palatinamente deslocados sem o uso de braquetes









Neste artigo de 2013, publicado pelo THE KOREAN JOURNAL of ORTHODONTICS, pelos autores Kyung-Hee, Choi Yoonjung, Lee Minji Kim, Youn-Sic Chun; do Department of Clinical Orthodontics, Graduate School of Clinical Dentistry, Ewha Womans University, Seoul, Korea. Mostra um relato de um caso clinico no qual se realizou um alinhamento ortodontico sem a necessidade de uso de braquetes.

Este artigo descreve o tratamento ortodôntico de uma paciente do sexo feminino, coreana, de 25 anos de idade, com apinhamento anterior, incluindo incisivos laterais palatinamente deslocados. Seu perfil facial era satisfatório, mas foi observado um  apinhamento ântero-superior de 3,5 milímetros. 

Para corrigir este apinhamento, decidiram minimizar a utilização dos aparelhos ortodônticos fixos convencionais e utilizaram um mais aparelho de estético menos volumoso, para aplicar uma força contínua e leve.

Determinou-se as posições finais dos dentes superiores por meio de um modelo de trabalho para a instalação no espaço desejado no diagnóstico, o alinhamento foi realizado com simples Ni-Ti elástico e tubos redondos de aço inoxidável. O alinhamento do dente foi conseguido eficientemente e esteticamente, sem os braquetes convencionais.

Link do artigo na integra via e-KJO:

terça-feira, 21 de agosto de 2018

Tratamento com extração incomum de uma Classe II divisão 1, usando mini-implantes-C ortodônticos

Neste artigo de 2007, publicado pela Angle Orthodontist, pelos autores Kyu-Rhim Chung; Jae-Hee Cho; Seong-Hun Kim; Yoon-Ah Kook; Mauro Cozzani; do Department of Orthodontics, The Catholic University of Korea, Seoul, South Korea, Department of Orthodontics, University of Ferrara, LaSpezia, Italy. Mostra a utilização do C-Implant como recurso de ancoragem num tratamento com uma biomecãnica diferenciada.



 Este artigo descreve o tratamento de uma paciente do sexo feminino, com idade de 23 anos e 5 meses, com uma  má oclusão de Classe II divisão 1, que mostrou protusão anterior severa e apinhamento anterior. 


Mini-Implantes ortodonticos especialmente desenhados foram colocados bilateralmente no espaço interdental entre ambos os dentes na parte superior e  inferior posteriores. Os dois primeiros molares mostraram graves lesões apicais. Portanto, o plano de tratamento consistiu de extração de ambos os primeiros pré-molares superiores e  primeiros molares inferiores, retração em massa dos seis dentes anteriores superiores, menor alinhamento anterior e protração de todos os molares inferiores. 



Os C-implantes foram usados ​​como substitutos dos dentes superiores posteriores de ancoragem durante a retração anterior e como ganchos para protração molar inferior. A sobremordida e overjet ideais foram obtidas através da intrusão e retração dos seis dentes anteriores superiores para suas posições corretas. 


A dentição foi corrigda usando aparelhos ortodônticos convencionais. A parte superior de C-implantes contribuiu para uma melhoria em equilíbrio facial, e os C-implantes permitiram corrigir os segundo e terceiros molares inferiores com menos efeito sobre o eixo dos dentes anteriores inferiores. 



O período de tratamento ativo foi de 29 meses, e os dentes do paciente continuaram estáveis após 11 meses da finalização.



Link do artigo na Integra via Angle Orthodontist: 

segunda-feira, 13 de agosto de 2018

Controle dos incisivos inferiores com o Herbst combinado e totalmente personalizado para um aparelho lingual - um estudo piloto


Neste artigo de 2010, publicado pelo Wiechmann et al. Head & Face Medicine, pelos autores Dirk Wiechmann, Rainer Schwestka-Polly, Hans Pancherz, Ariane Hohoff; do Department of Orthodontics, Westfälische Wilhelms-Universität Münster - Alemanha. Mostra um estudo feito com auxilio dos modelos digitais do efeito do Herbst associado ao aparelho lingual Incognito sobre o posicionamento final dos incisivos inferiores.

O aparelho Herbst induz a tradicional vestibularização dos incisivos inferiores independente do sistema de ancoragem utilizado. Os efeitos do Herbst como elemento auxiliar de um aparelho lingual totalmente personalizado (LO) Incognito (3 M) não foi analisada e ainda. O objetivo deste trabalho foi avaliar o efeito sobre a vestibularização so incisivo inferior utilizando este dispositivo de Herbst-LO.

Estudo retrospectivo. Os critérios de inclusão: a) Classe II ≥ 5 mm relação molar, b) Herbst ≥ 9 meses no local e, c) terminaram o tratamento ativo. posição do incisivo foi medido em modelos digitais antes do tratamento, sobre a configuração de destino digital e em modelos digitais modelos obtidos no dia da descolagem. Todas as medições foram realizadas pelo mesmo pesquisador.

Doze pacientes (8 mulheres, 4 homens) dos 632 casos tratados com o aparelho lingual foram incluídos no estudo. A medição do erro foi calculada com a fórmula de Dahlberg's que foi de 0,2 °. Em sete casos havia sido planejado (Configuração da meta) verticalização dos incisivos inferiores (CCR), e cinco casos vestibularização (sentido horário). Não houve diferença estatística (p 0.05) between planned incisor rotations of the target setup and" style="background-color: rgb(255, 255, 255); ">> 0,05) entre as rotações incisivo prevista da instalação de destino e alcançado rotações incisivo no dia do descolamento. A média geral de diferença foi de 2,2 ° ± 1,0 °.

Os autores concluiram que a combinação Incognito-Herbst é o primeiro conjunto  com Herbst que promove total controle sobre o movimento incisivo. Usando este sistema, a perda de ancoragem ou o ganho de fixação é independente do tratamento com o Herbst.

Ele depende apenas da posição dos dentes planejada do destino individual instalação.


Link do artigo na integra via head-face-med:

segunda-feira, 6 de agosto de 2018

Tratamento com camuflagem da má oclusão de Classe III esquelética, com o arcof multiloop modificado com elásticos Classe III em mini-implantes de ancoragem na região maxilar



Neste artigo de 2013, na Angle Orthodontist, pelos autores Shushu He; Jinhui Gao; Peter Wamalwa; Yunji Wang; Shujuan Zou; Song Chen; do Department of Orthodontics, West China School of Stomatology, Sichuan University, Chengdu, China, Department of Stomatology, Shunyi Hospital, Beijing, China, Primary Health Department, Latrobe Community Health Service, Victoria, Australia, DepartmentofOrthodontics,Chongq- ing Stomatology Hospital, Chongqing Medical University, Chongqing, China, State Key Laboratory of Oral Disease, Depart- ment of Orthodontics, West China School of Stomatology, Sichuan University, Chengdu, China. Mostra um estudo clinico com uma mudança de protocolo no tratamento com o arco MEAW associados a mini-implantes ortodonticos.

O estudo foi realizado com o intuito de avaliar o efeito da técnica de fio multiloop edgewise arch (MEAW) com mini-implantes maxilares no tratamento de camuflagem da Classe III esquelética.

Vinte pacientes foram tratados com a técnica MEAW e modificada com elásticos de Classe III fixados em mini-implantes maxilares. Vinte e quatro pacientes foram tratados com MEAW e elásticos longos Classe III fixados nos segundos molares superiores como controle. Telerradiografias laterais foram realizadas e analisadas antes e após o tratamento, e após 1 ano de contenção.

Uma oclusão satisfatória foi conseguida em ambos os grupos. Através da análise dos componentes principais, poderam concluir que a posição ântero-posterior dental, posição sagital e vertical esquelética e posição vertical do molar superior mudou dentro dos grupos e entre os grupos, a posição vertical dos dentes inferiores e a distância Wits  mudou no grupo experimental e entre os grupos. No grupo experimental, os incisivos inferiores inclinaram para lingual 2,7 milímetros e 2,4 milímetros extruidos. A inclinação lingual dos incisivos inferiores aumentou 3.5 graus. Os primeiros molares inferiores inclinaram para distal 9.1graus e intruiram 0,4 milímetros. Os caninos moveram 3,4 milímetros distalmente. No grupo controle, os incisivos superiores vestibularizaram 3 graus, e os primeiros molares superiores extruiram  2 mm. SN-MP aumentaram 1.6 graus e S-Go/N- ME diminuiu 1.

Os autores concluiram que a técnica MEAW modificada combinada com  elásticos Classe III fixados em mini-implantes maxilares pode efetivamente provocar o movimento distal dos molares inferiores, sem qualquer extrusão e os movimentos dos incisivos inferiores para lingual com extrusão para camuflar as má oclusões esqueléticas de Classe III. Rotação no sentido horário da protrusão da mandíbula e ainda dos incisivos superiores podem ser evitados. A técnica MEAW modificado com elásticos Classe III,  pode ser uma estratégia de tratamento adequado, especialmente para pacientes com  ângulo alto (Vertical) e tendência a mordida aberta.


Link do artigo na integra via Angle Orthodontist: