ORTODONTIA CONTEMPORÂNEA: fevereiro 2016

segunda-feira, 29 de fevereiro de 2016

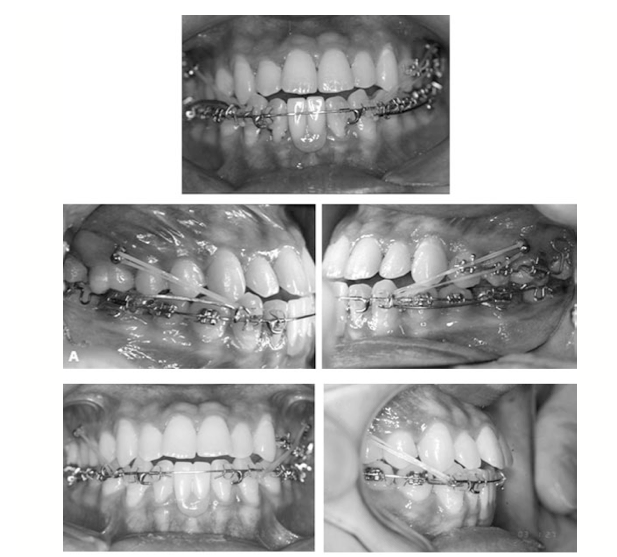
Mini-implante Ortodôntico para distalização dos dentes inferiores para correção de uma Classe III

Neste artigo de 2005, publicado pela Angle Orthodontist, pelos autores Kyurhim Chung, Seong-Hun Kim e Yoonah Kook, da Korea Society of Speedy Orthodontics, Seoul, South Korea, Department of Orthodontics, The Catholic University Korea, Uijongbu, Seoul, South Korea. Mostra a aplicabilidade de um Micro implante na distalização inferior para correção de uma má oclusão de classe III.



O artigo descreve o tratamento em um paciente de 16 anos de idade com uma má oclusão Classe III e dois incisivos centrais inferiores ausentes. O plano de tratamento consistiu em forma de distalização assimétrica  inferior dos dentes e recuperar espaço para um trabalho protético anterior inferior. 



C-implantes foram utilizados como elemento de ancoragem para utilização de elásticos intermaxilares Classe III. Os dois microimplantes C-ortodônticos (C-implantes) foram colocados nos espaços interdentais entre os pré-molares e molares superiores segundo primeiro. O desenho especial da cabeça C-implante o que minimizou a irritação gengival durante o tratamento ortodôntico. 





Jigs deslizantes foram aplicados sobre o fio para a distalização dos dentes inferiores posteriores. A sobremordida ideal e o overjet foram obtidos com a distalização em todo o arco dentario inferior, que chegou a sua posição correta com os C-implantes de ancoragem, o que contribuiu para uma melhora no equilíbrio facial. 


Levou 15 meses para tratar este caso. A aplicação deste novo microimplante, considerações para a selecção do protocolo, e a sequência de tratamento foram apresentados pelos autores.



Os autores concluíram que a ancoragem absoluta pode ser usado com um gancho para a utilização de elásticos intermaxilares em casos em que a extrusão de dentes de ancoragem deva ser evitado. O C-implante pode criar ancoragem absoluta e um amplo espectro de aplicações clínicas devido à sua concepção particular. Mais pesquisas e estudos sobre a mecânica com C-implante são necessários para estabelecer o momento da força ortodôntica ou ortopédica, combiná-lo com o tratamento ortodôntico com várias mecânicas, e  determinar as diretrizes para o tratamento em pacientes adultos com complicações sistêmicas.


 Link do artigo na integra via Angle Orthodontist:

sexta-feira, 26 de fevereiro de 2016

1º Congresso Internacional Ortho Science




Nos dias 13 e 14 de maio de 2016 acontecerá o 1º  Congresso Internacional Ortho Science que será realizado em Curitiba - PR. Diversos nomes de peso da Orotodontia Nacional e Internacional como Prof. Dr. David Sarver, Ary dos Santos, Alexandre Moro, Claudio Azenha, Weber Ursi, Carlos Guimarães, Nelson Mucha, entre outros. Um excelente oportunidade de atualização. 


Maiores Informações:

segunda-feira, 22 de fevereiro de 2016

Professora Lucineide Lima - Obtém o Titulo de Mestre em Ortodontia - Universidade Norte do Paraná - UNOPAR







No dia 19/02/16, a Professora Lucineide Lima, da equipe do Grupo Ortodontia Contemporânea, Obteve o titulo de Mestre em Ortodontia pela Universidade Norte do Paraná - UNOPAR, defendendo sua pesquisa com a dissertação intitulada por "Avaliação dos níveis de dor relacionados a ansiedade odontologica, catastrofisação e sensibilidade dentaria durante o tratamento Ortodontico", Orientada pela Professora Dra. Paula Vanessa Pedron. Um orgulho para toda equipe e os alunos que acompanham todo seu comprometimento e dedicação a especialidade.


quinta-feira, 18 de fevereiro de 2016

Consultório hi-tech. Tecnologias não odontológicas no consultório ortodôntico - Artigo Coluna OrtoTecnologia da Revista SPO











Diante da grande oferta de ortodontistas no mercado, a diferenciação é almejada por todos. Essa diferenciação passa por altas cargas horárias em cursos de especialização e atualização, até a estruturação e design do consultório. A modernização dos processos internos da clínica pode reduzir o tempo gasto com atividades repetitivas, além de auxiliar no marketing positivo. No entanto, a aquisição de equipamentos tecnológicos sem o adequado planejamento pode gerar custos extras sem o retorno esperado, uma vez que toda mudança requer comprometimento e motivação da equipe. Muitos serviços estão disponíveis na internet para ajudar na melhoria dos serviços prestados e automatização das atividades. Desta forma, este artigo objetivou apresentar alguns desses serviços, bem como discutir a necessidade de equipamentos para um investimento consciente no consultório. 

Link da Revista SPO:

sexta-feira, 12 de fevereiro de 2016

2º Congresso Internacional da ABOL de Ortodontia Estética

No dia 2º CONGRESSO INTERNACIONAL ABOL DE ORTODONTIA ESTÉTICA. Neste evento, que acontecerá em Belo Horizonte, Minas Gerais, nos dias 07,08 e 09 de abril de 2016, estamos trazendo 5 professores internacionais, referências em abordagens ortodônticas estéticas em países como EUA, Coréia do Sul, Espanha e Inglaterra, que vão nos mostrar o estado da arte em Ortodontia Estética contemporânea pelo mundo.





Link do congresso:


quinta-feira, 11 de fevereiro de 2016

Aparelho Herbst: Protocolos de tratamento precoce e tardio








Neste artigo de 2005, publicado pela Revista Dental Press, pelos Autores Omar Gabriel da Silva Filho, Carlos Alberto Aiello, Marcelo Veloso Fontes; do Hospital de Reabilitação de Anomalias Craniofaciais, Universidade de São Paulo (HRAC/USP), Bauru - São Paulo. Discorre sobre os protocolos de tratamento precoce e tardio para a correção da deficiência mandibular com o aparelho Herbst.


O aparelho Herbst consiste num aparelho intrabucal de ancoragem intermaxilar recíproca. Isso implica que a ação do aparelho em avançar a mandíbula provoca uma reação igual e contrária no arco dentário superior. Assim, a instalação do mecanismo Herbst induz uma força superior e posterior nos dentes superiores (reação) e uma força inferior e anterior nos dentes inferiores (ação). A utilização de uma ancoragem pesada tem pretensões de transformar a ação do mecanismo telescópico em resposta ortopédica (remodelação da ATM e aumento no comprimento mandibular) e neutralizar a força de reação. Neste contexto, o planejamento da ancoragem retoma o propósito de minimizar o efeito ortodôntico em benefício do ganho ortopédico quando da adaptação do mecanismo telescópico bilateral responsável pelo avanço mandibular contínuo.


O que fica claro na literatura é que o aparelho Herbst, depois da sua reintrodução e crescente popularidade na Ortodontia, ganhou diferentes versões. A ancoragem original prevê uma estrutura metálica fixa em ambos os arcos dentários. Uma das possibilidades de ancoragem metálica fixa é o apoio no maior número de dentes posteriores mediante o emprego de uma armação metálica fundida ou sua estrutura mais próxima, que corresponde à armação metálica soldada usando bandas como elemento de união intra-arcos. Tendo como um dos motivos a fragilidade estrutural nos locais de solda, pontos de constante quebra, a estrutura metálica soldada também tem sido substituída pelo esplinte de acrílico cobrindo toda a extensão dos arcos dentários. O esplinte pode ser colado somente no arco dentário inferior ou em ambos os arcos dentários, e até mesmo ser removível inferior, ou removível em ambos os arcos dentários. As ancoragens alternativas pendentemente do protocolo de tratamento, se instalado na dentadura mista ou na dentadura permanente.


O aparelho baseia-se numa adaptação do aparelho expansor fixo tipo Haas, usado previamente à instalação do mecanismo telescópico, e com familiaridade pelos autores, para a descompensação transversal da maxila. O apoio mucoso de resina acrílica delineia a abóbada palatina enquanto que a barra de conexão contorna o arco dentário superior em sua maior extensão, ou pelo menos até o seu limite palatino posterior. Depois de instalado o aparelho de ancoragem superior, o parafuso expansor é acionado até a descompensação transversal da maxila, para a correção da deficiência transversal presente com freqüência na má oclusão Classe II, divisão 1.


A ancoragem inferior, puramente dentária e metálica, tenta recrutar o maior número de dentes possível. Os dentes de ancoragem são unidos por um arco lingual de Nance modificado pela extensão vestibular, que parte do primeiro molar, em direção anterior, para receber o dispositivo que fixa o pistão ou êmbolo do mecanismo telescópico e é interrompida na região de canino, quando é soldada no arco lingual.


Toda mecanoterapia vislumbra um objetivo definido e baseia-se numa estratégia de ação coerentemente planejada levando em consideração características como: morfologia da má oclusão, gravidade do problema, estágio do desenvolvimento oclusal, idade e cooperação do paciente, formação profissional e, finalmente, a própria expectativa do paciente e familiares no tocante aos resultados do tratamento. Isso se aplica também para a má oclusão Classe II, cujo universo terapêutico abrange uma infinidade de aparelhos, bem como épocas diferentes de intervenção, não raro desafiando a concepção morfogenética ao se recorrer aos aparelhos de efeito ortopédico sobre o crescimento mandibular, uma vez que cerca de 70% das más oclusões Classe II apresentam deficiência mandibular. De um modo geral pode-se resumir em dois os inúmeros protocolos de tratamento para a má oclusão de Classe II, considerando-se a época de tratamento. O tratamento precoce, em duas fases, e o tratamento tardio, em uma única fase.


A indiscutível superioridade do aparelho Herbst em relação aos aparelhos removíveis da Ortopedia Funcional dos Maxilares reside no fato de ser fixo e, conseqüentemente, desencadear o avanço contínuo da mandíbula. Por isto, nenhum outro dispositivo dito ortopédico supera o aparelho Herbst no que se refere a tirar da mandíbula seu potencial máximo de crescimento induzido. As imagens da ATM, quer por ressonância eletromagnética, radiografias convencionais ou histologia, dão demonstração cabal do potencial de remodelação da ATM frente ao deslocamento contínuo do côndilo em direção à eminência articular. As pesquisas justificam o reposicionamento do côndilo dentro da fossa articular pelo crescimento condilar e pela remodelação da fossa articular. Isso não parece ser pura contaminação pelo entusiasmo que o aparelho fixo tem despertado em países que tradicionalmente cultivam aparelhos ortopédicos funcionais removíveis. Artigo recente em periódico nacional resume a literatura pertinente ao comportamento da ATM frente ao uso dos aparelhos ortopédicos.


Assim como os aparelhos de avanço mandibular intermitente, além de potencializar o crescimento mandibular, o aparelho de Herbst induz as nem sempre bem-vindas alterações ortodônticas, que podem alcançar mais de 50% do efeito total do aparelho. As alterações ortodônticas podem ser consideradas “perda de ancoragem” e incluem: distalização e intrusão dos molares superiores, verticalização dos incisivos superiores, vestibularização dos incisivos inferiores e extrusão e mesialização dos molares inferiores.



Link do artigo na integra via Scielo:


quinta-feira, 4 de fevereiro de 2016

Concepção e fabricação de um aparelho ortodôntico fixo Lingual usando um software de registro 2D / 3D e prototipagem rápida auxiliada por computador








Neste artigo de 2014, publicado no International Journal of Dentistry, pelos autores Soon-Yong Kwon,  Yong Kim, Hyo-Won Ahn,  Ki-Beom Kim,  Kyu-Rhim Chung,  and Seong-Hun Kim (Sunny); do Department of Orthodontics, School of Dentistry, Kyung Hee University;  Department of Orthodontics, Center for Advanced Dental Education, Saint Louis University-USA; Department of Orthodontics, School of Medicine, Ajou University; Republic of Korea. Demonstra a customização passo a passo de uma aparatologia ortodontica lingual atraves  do criação e sistemas cad/cam, prototipagem e suas aplicações clinicas.
 A disponibilidade de tecnologia de digitalização 3D do modelo dentário, combinada com a capacidade de registrar dados de TCFC com modelos digitais, permitiu a fabricação de guias  para  cirúrgica ortognática CAD / CAM, aparelhos ortodonticos personalizadas e sistemas de colagem indiretas. 

Neste estudo, os aparelhos ortodônticos linguais foram  personalizados e projetados pela fusão de imagens de modelos 3D com cefalogramas laterais e póstero-anterior. Ao exportar informações de design em um software CAD 3D, foi  produzido um protótipo por estereolithografia e converteu-o em um aparelho liga de cobalto-cromo como uma forma de combinar técnicas de revestimento e materiais protéticos tradicionais. 

Apesar do procedimento de montagem do aparelho ser reforçado, a tecnologia CAD simplificado o processo de fabrico, eliminando a fase de soldadura. Este artigo descreve a fabricação por CAD / CAM de um aparelho lingual para  retração anteroposterior ligado  para a retração intrusiva dos dentes antero superiores. Além disso, o método CAD / CAM elimina a etapa extra de determinação do braço de alavanca sobre os cefalogramas laterais e modificações de projeto subsequentes em
modelo de estudo.

Os autores concluíram que a Tecnologia CAD, datada de fusão de imagem do modelo 3D e cefalogramas ou exames tomográficos, permite uma melhor precisão no desenho da aparelho ortodôntico. Usando um projeto assistido por computador e fabricação do aparelho, os seguintes resultados foram obtidos:
(1) Redução no uso de fios auxiliares e a distorção do aparelho durante a fundição;
(2) O diâmetro do fio deve ser maior do que 0,9 mm, causa resistencia à força de retracção.

Link do artigo na integra via  ncbi:

segunda-feira, 1 de fevereiro de 2016

Avaliação das mudanças Dentofaciais imediatas na finalização de pacientes adolescentes tratados com o Forsus TM FRD





Neste artigo de 2011, publicado pelo  European Journal of Dentistry, pelos autores Esen Ali Gunay, Tulin Arun, Didem Nalbantgil, do Department of Orthodontics, Faculty of Dentistry, Yeditepe University, Istanbul, Turkey. Mostra um estudo realizado em jovens portadores de Classe II tratados com o Propulsor mandibular FORSUS.

O objetivo deste estudo foi avaliar as mudanças de curto prazo dento esqueléticas e do perfil mole em pacientes adolescentes tratados com o  ForsusTM FRD.
Um estudo prospectivo foi realizado em 54 radiografias laterais cefalométricas que foram tomadas antes da colocação e após a remoção do aparelho no grupo de tratamento (15 sujeitos) e no início e seis meses após no grupo de controle (12 sujeitos). Os critérios de seleção de pacientes foram: maloclusão  esquelética e dentária de Classe II, devido ao retrognatismo mandíbular, ângulos normais ou de baixo padrão de crescimento, período de crescimento pós-pico, sem dentes permanentes extraídos ou congenitamente ausentes, e apinhamento mínimo na parte inferior do arco dentário.
A avaliação de estatística dos dados sugeriram os seguintes resultados: Não houve alterações sagitais e verticais do esqueleto induzidas. Os incisivos inferiores se projetaram e  intruiram, enquanto os incisivos superiores foram retruídos e extruidos. O plano oclusal foi girado em sentido horário, como resultado das mudanças dentoalveolares.  O trespasse vertical e horizontal foram reduzidos em todos os pacientes. Perfil mole ligeiramente melhorado.
Os autores concluiram que os resultados revelaram que, no final os pacientes adolescentes tratados com ForsusTM FRD foram corrigidas as discrepâncias de Classe II maxilar e mandibular através de alterações dentoalveolares.

Link do artigo na integra via ncbi: